KOWA
Ophthalmic & Medical Equipments
Get a quote
facebook Youtube Twitter LinkedIn Instagram

Products: Retinal Cameras

VX-20 Combination Mydriatic/Non-Mydriatic
Retinal Camera

An innovative design that is patient friendly and easy to use.

The VX-20 is Kowa's unique, hybrid combination retinal camera that offers versatile, high quality retinal imaging in one easy-to-use system. Due to its outstanding features, the VX-20 remains the first choice for clinicians. With a built in PC and high-resolution camera, this fundus camera is a versatile diagnostic tool with stand-alone capability. The VX-20 fits perfectly within the clinical environment. The VX-20 offers enhanced functionality at the touch of a button allowing the clinician to switch quickly between mydriatic & non-mydriatic modes. It includes a 7 inch wide, LCD color touchscreen that is simple to use and ideally positioned to ensure easy patient observation. What's more, the control panel's updated design improves the operator experience, ensuring everything is within easy reach for the clinician.

Features and Benefits

Enhanced Photography Features
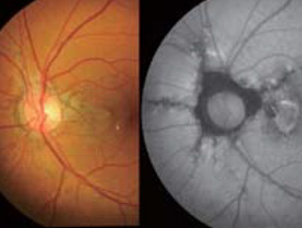
5 Photography Modes Including FAF*

In addition to non-mydriatic color, mydriatic color, fluorescein angiography (FA), Red-free (RF), fundus autofluorescence (FAF*) is added to allow 5 photography modes.

Non-Mydriatic Color

Mydriatic Color

Fluorescein Fundus Angiography (FA)

Red-Free (RF)

Fundus Autofluorescence (FAF*)

Photo : Showa University

Updated Design for Patient Comfort

75mm reduced height of examined eye from our previous model ("VX-10" Series) allows for photography in a more relaxed posture.

Instant Image Filing Software is Included

The instant image filing feature allows ID management of images, browsing, and direct output to an external printer. By connecting to the Kowa VK-2 image management system, images can be transferred to electronic medical records.

2 Variable Optical Angles

  • Change the field of view with a quick push of a button
  • Mydriatic mode: 50° or 30° field of view
  • Non-mydriatic mode: 45° or 27° field of view

The Fundus Can Be Observed
Through the Optical Viewfinder

In mydriatic mode, the fundus can be observed through the optical viewfinder, allowing image capture exactly as viewed. This feature is particularly helpful for shooting the peripheral part of the retina.